Tag: termoablacja
Gdy rak jelita grubego daje przerzuty
W Polsce rak jelita grubego wykrywany jest u blisko 20 000 osób rocznie. Niestety, aż 65% przypadków diagnozujemy w III lub IV stadium choroby,...
Narodowy Instytut Onkologii w Gliwicach dołączył do grona ośrodków leczących rzadkie nowotwory trzustki metodą...
Cztery pierwsze zabiegi termicznej ablacji guzów neuroendokrynnych trzustki za pomocą prądu o częstotliwości fal radiowych (RFA) wykonano w Pracowni Endoskopowej Narodowego Instytutu Onkologii w...
Termoablacja w onkologii będzie lepiej wykorzystywana? Trwają prace nad wyceną świadczeń
Termoablacja to metoda o dobrze udokumentowanej przydatności w onkologii. Jednak w Polsce wykonuje się ją jedynie w przypadku guzów wątroby, w innych natomiast sporadycznie...
Holo4Med nawiązał współpracę z WUM
Uniwersyteckie Centrum Kliniczne Warszawskiego Uniwersytetu Medycznego rozpoczęło projekt wykorzystujący technologię Mieszanej Rzeczywistości w walce z nowotworami. II Zakład Radiologii WUM podpisał list intencyjny z...
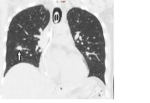
Pierwsza w Polsce termoablacja guza płuca
Radiolodzy interwencyjni szpitala Warszawskiego Uniwersytetu Medycznego przy ul. Banacha wykonali pierwszy w Polsce zabieg termoablacji guza płuca. U 50-letniego pacjenta – podczas jednego zabiegu...













































