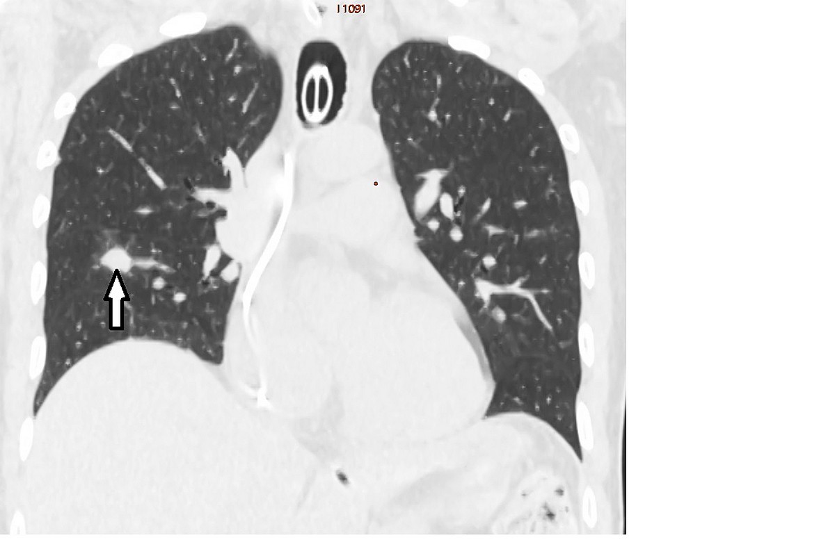
Radiolodzy interwencyjni szpitala Warszawskiego Uniwersytetu Medycznego przy ul. Banacha wykonali pierwszy w Polsce zabieg termoablacji guza płuca. U 50-letniego pacjenta – podczas jednego zabiegu – udało się zniszczyć przerzuty raka jelita grubego do płuca oraz wątroby za pomocą wysokiej temperatury. Termoablacja już od wielu lat stanowi uznaną metodę leczenia nowotworów płuc (raka płuca oraz przerzutów innych nowotworów) w większości krajów Unii Europejskiej, USA czy Kanadzie. Główną zaletą procedury jest jej małoinwazyjność oraz powtarzalność.
Podczas zabiegu przez skórę wprowadzono igłę, której końcówkę umieszczono w guzku przerzutowym i zniszczono go za pomocą wysokiej temperatury. Zabieg przebiegł bez powikłań. Pacjent planowo będzie wypisany do domu 1-2 dni po zabiegu.
W leczeniu przerzutów raka jelita grubego skuteczność termoablacji małych guzków jest zbliżona do operacji, ale jako zabieg małoinwazyjny jest znacznie mniej obciążająca dla pacjenta. Odsetek poważnych powikłań jest wielokrotnie mniejszy niż przy operacji. Termoablację można wielokrotnie powtarzać, co z powodzeniem stosuje się u pacjentów z przerzutami raka jelita grubego czy mięsaka.
Rak jelita grubego jest agresywnym nowotworem. Nawet jeśli przerzuty w płucach zostaną skutecznie usunięte lub zniszczone za pomocą radioterapii lub termoablacji, to u ponad 50% pacjentów pojawią się nowe zmiany przerzutowe w przyszłości. U wielu z tych pacjentów nie będzie można wykonać kolejnej operacji lub radioterapii, natomiast można u nich przeprowadzić kolejne termoablacje, w miarę jak będą się pojawiać nowe przerzuty.
Autor zdjęcia: Grzegorz Rosiak WUM









































